Pirmojo kojos piršto Valgus deformacija dažniausiai pažeidžia brandaus amžiaus moteris, tačiau ja serga ir vyrai. Deformuotas nykščio pagrindas neatrodo estetiškai. Tokiu atveju žmogus jaučia fizinį diskomfortą, o pažengusioje stadijoje – skausmą. Didžiojo piršto nukrypimas yra netolygios kūno apkrovos pėdai pasekmė. Tokie pokyčiai neigiamai veikia pėdas ir kitus pirštus.
Kreivumo priežastys

Hallux valgus neatsiranda be aiškios priežasties. Ši patologija atsiranda ir vystosi dėl įvairių priežasčių. Hallux valgus dažniausiai paveikia žmones, kurie yra genetiškai linkę sirgti šia liga. Gydytojai atkreipia dėmesį į šias 1 piršto deformacijos priežastis:
- Perteklinis kūno svoris.
- Endokrininės ligos.
- Osteoporozė.
- Plokščios pėdos.
- Cukrinis diabetas.
- psoriazė.
- Artritas.
- Hormoniniai pokyčiai nėštumo ir senatvės metu.
- Nešioti ankštus batus.
- Profesijos specifika, verčianti žmogų kasdien ištverti padidėjusį fizinį krūvį ant kojų.
Etapai ir veislės
Gydytojai išskiria 3 ligos progresavimo etapus:
- Subtilus valgus nukrypimas. Atsiranda odos paraudimas, taip pat nedideli įbrėžimai. Diskomfortas vaikščiojant.
- Ant nykščio jau aiškiai matomas išaugimas. Pastebimas patinimas ir skausmas.
- Ši ligos forma laikoma pažengusia. Žmogų vargina nuolatinis nepakeliamas kojos piršto ir visos pėdos skausmas, keratinizuotos odos atsiradimas. Skausmas nepraeina net miegant.
Nemalonaus hallux valgus atsiradimui įtakos turi daug veiksnių. Ekspertai kaip atskirą kategoriją išskyrė šiuos pirštų deformacijų tipus:
- Kryžminė deformacija. Kreivumas vyksta skirtingomis kryptimis. Pirštai sukryžiuoja vienas kitą.
- Sąnarių išlinkimas tiek, kad jie visada būtų sulenktoje padėtyje. Pirmajame patologijos vystymosi etape pirštai gali būti priversti ištiesinti rankų pagalba. Jei šiuo metu nepradėsite gydymo, pirštai taps tokie sustingę, kad nebegalėsite jų ištiesinti rankomis. Dabar be operacijos išsiversti neįmanoma.
- Taylor deformacija. Patologija, pažeidžianti mažuosius pirštus. Būdingas išaugos atsiradimas ant kaulų.
- Falangų kreivumas, panašus į kabliukus.

Ekspertai apima balerinas, kurioms gresia hallux valgus. Šokant ant kojų pirštų padidėja įtampa kojų pirštams, o tai lemia jų kreivumą. Neteisinga eisena taip pat gali sukelti nepageidaujamų rezultatų. Išprovokuojančius veiksnius apsunkina net amžius.
Diagnostikos metodai
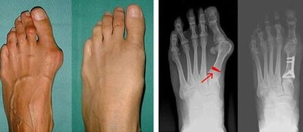
Jei vizualinis tyrimas ir rentgeno spinduliai neduoda jokio rezultato, pacientas siunčiamas plantografijai, kad būtų nustatytas galimas plokščias pėdas. Šis metodas apima pėdų atspaudus, kurių pagrindu pacientui gaminami ortopedinių savybių turintys batai ar vidpadžiai. Tada pacientui skiriama podometrija. Šis metodas naudoja kompiuterinę analizę, leidžiančią nustatyti žmogaus svorio spaudimą pėdoms. Išplėstinės diagnostikos rezultatai yra pagrindas renkantis pirmojo ir antrojo piršto išlinkimo gydymo metodą.
Rentgeno tyrimo trūkumas – būtinybė apšvitinti paciento kojas, ko daugelis pacientų nemėgsta. Jie mano, kad tai pernelyg žalingas metodas. Šiuo atžvilgiu veiksmingas hallux valgus gydymas negali būti pradėtas be plantografijos rezultatų.

Tai geriausias informatyvus diagnostikos metodas. Jos pagalba gydytojas nustato ne tik plokščiapėdystę, bet ir pėdų skliautų būklę. Kompiuterinis tyrimas yra veiksmingiausias būdas aptikti plokščias pėdas.
Pirmajame didžiojo ir mažojo piršto valgus nustatymo etape gydytojas atlieka vizualinį tyrimą. Tokiu būdu jis nustato patologijos vystymosi stadiją. Norint nustatyti detalius sąnarių pokyčius, skiriami rentgeno spinduliai ir plantografija.
Vaistų terapija
Geriau pradėti švelnų pėdos, kaip ir didžiojo piršto, gydymą, kol dar nepasibaigė paskutinis patologijos vystymosi etapas. Specialistai žino, kaip gydyti šią patologiją, tačiau nežino, kaip išgydyti pažengusią ligos formą be chirurginės intervencijos. Pirma, gydytojai nustato pirštų kreivumo priežastį, taip pat komplikuojančių veiksnių buvimą. Kaip žinoma, vaistų terapijos užduotis apima simptominį gydymą. Tai reiškia, kad skausmas, uždegimas ir patinimas išnyksta.
Dažniausiai pacientams skiriami nesteroidiniai vaistai nuo uždegimo. Be pagrindinės funkcijos, jie mažina skausmą ir karščiavimą. Kai atsiranda komplikacijų, dažnai skiriami hormoniniai kortikosteroidai. Jei pirštų deformaciją sukelia vidaus organų ligos, tai išgydžius pagrindinę patologiją galima koreguoti sąnarius. Šiuo atveju endokrinologai yra susiję su problema kartu su kitais aukštos kvalifikacijos specialistais. Daugelis žmonių bando išgydyti save liaudies gynimo priemonėmis, pamiršdami, kad tai įmanoma tik pradiniame patologijos vystymosi etape.
Jei patologija pastebima pradinėje stadijoje, tada kreivas nykštys tiesinamas prietaisų – ortopedinių savybių turinčių plastikinių ar silikoninių pagalvėlių – pagalba. Gydymo metu avėkite minkštus, erdvius batus. Kreiviems pirštams ištiesinti naudojami ortopediniai vidpadžiai, lanko atramos ir kiti korektoriai. Deformuoti pirštai tvirtinami specialiais įtvarais, žiedais, kepurėlėmis, šukomis. Tokių prietaisų pagalba pirštai tvirtinami teisingoje padėtyje. Ortopedinių fiksatorių dėka sustoja tolesnė pirštų deformacija.
Yra du būdai gydyti hallux valgus. Pirmoji – neskausminga deformacijos korekcija, nereikalaujanti chirurginės intervencijos ir reabilitacijos, antroji – gydymas chirurginiu būdu.
Chirurginiai gydymo metodai

Visiškai išgydyti hallux valgus įmanoma tik chirurgo skalpelio pagalba. Kartais užtenka vienos operacijos ir pacientas apie problemą pamiršta visam laikui. Gydytojas atlieka chirurginę intervenciją, atsižvelgdamas į hallux valgus deformacijos tipą. Dažniausi operacijų tipai yra šie:
- Egzostektomija. Pašalinama tik tam tikra metatarsalinio kaulo dalis.
- Rezekcinė artroplastika. Pašalinama galinė metatarsalinio kaulo dalis.
- Osteotomija. Jis naudojamas pašalinti padikaulio kaulą, taip pat nedidelį falangos elementą.
- Rezekcija. Operacijos tikslas – pašalinti pažeistus minkštuosius audinius ir į jų vietą persodinti sveikus audinius.
- Artrodezė. Suteikia priverstinį sąnarių nejudumą.
- Distalinė osteotomija. Operacija apima kampo tarp jungčių mažinimą.
- Didžiojo piršto uždegusios kojos pašalinimas.
- Implantų montavimas.
Reabilitacijos laikotarpis po operacijos gali trukti iki septynių savaičių. Per šias kelias savaites dažniausiai atliekamos specialios prevencinės priemonės. Visų pirma, tai yra gydomieji pratimai, skatinantys:
- sveikatos būklės gerinimas;
- sumažinti skausmą vaikščiojant;
- padidinti kojų raumenų tonusą;
- deformuotos jungties įrengimas ir fiksavimas natūralioje padėtyje.
Reabilitacijos laikotarpio trukmė dažniausiai priklauso nuo operacijos sudėtingumo. Norėdami greičiau pasveikti, kitą dieną turėtumėte pradėti judinti pirštus. Po savaitės pacientas jau gali atsistoti ir, laikydamasis atsargumo priemonių, lėtai judėti. Svarbiausia vengti ilgalaikio streso.
Po operacijos jums reikės kokybiškų minkštų ir erdvių batų. Jis perkamas gydytojo rekomendacija. Beje, jei gydomąją mankštą pradėsite daryti pačioje hallux valgus vystymosi pradžioje, galite apsieiti ne tik be chirurginės intervencijos, bet ir nešvaistydami pinigų įvairiems prietaisams, tepalams ir vaistams.
Specialistai teigia, kad chirurginio gydymo galimybė duoda praktiškai šimtu procentų teigiamų rezultatų. Šis švelnus gydymo metodas nereikalauja anestezijos ir nesukelia streso ar psichologinių išgyvenimų. Tačiau neskausmingi gydymo metodai nepajėgia išgelbėti žmogaus nuo paskutinės ligos stadijos.
Prevencinės priemonės

Prevencinės priemonės gana paprastos – avėti patogius batus plačiu nosimi, kurio vidus nespaudžia pirštų. Ypač sąnariai ir apskritai pėdos gali atlaikyti svorį, susikaupusį žmogaus augimo metu, nepadarydami žalos. Todėl labai svarbu stebėti savo kūno svorį, kad išvengtumėte nutukimo.
Vienas iš veiksmingų prevencinių pratimų yra toks: žmogus, sėdėdamas ant kėdės, kojas remdamasis į grindis, jas judina pirštais.
Kitas pratimas apima vaikščiojimą basomis kojomis ant grindų, pakaitomis ant kojų pirštų ir kulnų.
Paprasta gimnastika įvaldoma greitai, todėl atsiranda sudėtingesnių fizinių pratimų. Tada galite atlikti tokius veiksmus kaip pakelti pieštuką ar bet kokį kitą daiktą nuo grindų.
Geriau užkirsti kelią nykščio deformacijai, nei vėliau stovėti eilėse gydymo įstaigose, norint gauti gydytojų rekomendacijas dėl veiksmingo gydymo pasirinkimo.






















